
1. 무지외반증이란?
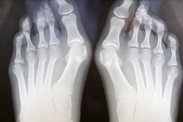
무지외반증이란 엄지발가락이 새끼발가락 쪽으로 휘어지고, 중족골 관절은 바깥쪽으로 튀어나오는변형을 일으키는 질환입니다.
2. 무지외반증의 원인
선천적인 요인인 유전은 모계 유전 확률이 50% 이상으로 여성 환자들이 많은 이유입니다. 저도 무지외반증 수술을 했지만 저희 어머니, 외할머니도 심한 무지외반증이었던 기억이 납니다.
후천적인 요인으로는 엄지발가락에 자극이 가는 생활습관 (ex 하이힐, 발볼이 좁은 신발, 키높이 신발)과 같은 요인이 있습니다. 초기에는 하이힐병이라고 불리면서 여성들에게 높은 발병률을 보였다고 합니다. 그러나 시간이 지나며 현재는 남성과 노년층에서도 다수 발병하는 양상을 보이고 있습니다. 이는 생활습관과 같은 이유도 있지만 젊은 시절, 무심코 지나친 엄지발가락의 통증을 내버려 둔 채 지내다 시간이 흐른 뒤 심각한 변형을 초래하는 케이스도 있다고 합니다.
3. 치료 방법 - 교정기
무지외반증 환자는 엄지발가락 통증 때문에 무의식적으로 엄지발가락에 체중을 싣지 않고 발 바깥쪽으로 걷게 되어 발목과 무릎 허리에 과도한 부담이 발생으로 인해 관절과 척추질환이 발생할 수 있다고 합니다.
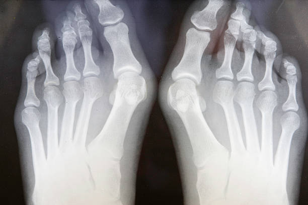
치료 방법은 hallux valgus angle 에 따라 달라질 수 있습니다. 초기 20도 미만인 경우, 당장 수술할 수 없는 소아 청소년과 임산부의 경우 교정기를 통해 수술을 지연할 수는 있습니다. 그러나 교정이 치료의 방법은 아니며, 단지 변형을 늦춰 주는 보존적 치료라고 합니다.

저도 수술 전에는 온갖 교정기를 다 써봤지만 결국 수술
4. 치료방법 - 수술
그렇다면 수술은 언제, 어떤 방식으로 선택해야 하는 것일까요?
앞에서 말씀드렸듯 저는 선천적으로 무지외반증이 있었습니다. 사람들의 발 모양은 원래 엄지발가락이 약간 휜 게 정상인 줄 알았을 정도로 어렸을 때부터 발 모양이 휘어있었습니다. 불편함을 모르고 자라다가 성인이 되고 나서, 하루 종일 서있는 직업을 갖게 되니 발이 몹시 아프기 시작했습니다. 특히 엄지발가락, 그것도 MTP joint 부근, 돌출된 곳이 지속적으로 아프고 왠지 엄지발가락 각도가 더욱 휘어진 것 같이 보였습니다. 착각이겠거니 했지만 통증이 점점 심해져서 수술을 결심했습니다.
기존의 개방적인 수술의 뼈를 깎아 봉합하는 방식과 달리 현재는 hallux valgus angle가 보편화되어 이에 따라서 병기를 구분하고 수술의 방법을 적용할 수 있는 선별적인 방식이 적용되고 있다고 합니다.
제가 수술받았던 병원에서 확인한 정보를 기준으로 적어보겠습니다. 본인의 수술방법은 현재 증상과 상태에 따라 무조건 달라질 수 있으므로 족부질환 전문가 (의사)와 상담하시기를 적극 권장하는 바입니다.
20~25도 미만의 병기에는 미세 침습방식의 (MIS) 교정술을 적용해 볼 수 있다고 합니다. 엄지발가락 주변에 2~3개의 미세한 구멍을 이용해 수술하는 방법입니다. 피부를 봉합하거나 할 필요가 없어 미용과 흉터에 대한 부담이 적고 덜 아프고 회복이 빠른 것이 장점입니다. (구멍을 뚫고 엄지 뼈를 안쪽으로 들여서 1자로 정렬을 맞춘다고 합니다. )
다음은 양측 발병 및 25도 이상의 육안으로도 확인 가능한 경우의 변형입니다. 이런 경우 단일 절개 복합 교정술을 시행한다고 합니다. 기존 절골 교정술은 두 번의 개방에 비해 휘어진 뼈에 미세한 실금을 내어 내측으로 잡아당겨 정렬을 맞추는 수술입니다. 기존 고식적 수술이 두 번의 절개와, 뼈를 깎는 수술로 통증이 무척 컸던 반면에 교정술은 실금을 내서 정렬을 하기 때문에 통증이 상대적으로 덜 하여 양측 수술도 가능하다고 합니다.
'건강' 카테고리의 다른 글
| 건강 검진 받기 전 꼭 알아야 할 주의 사항 알아보기 (0) | 2021.11.17 |
|---|---|
| 건강 검진의 계절, 종합 건강 검진 항목 살펴보기 (0) | 2021.11.15 |
| 병원에서 사용한 주사바늘, 포도당 수액병, 수액백 어떤 의료폐기물용기에 폐기해야 할까? (0) | 2021.10.24 |
| 고혈압 환자를 위한 생활 습관 (0) | 2021.10.24 |
| 인플루엔자 바이러스, 독감 백신 예방 접종 하면 감기도 예방 될까요? (0) | 2021.10.19 |
댓글