
1. 결핵이란?
결핵균(Mycobacterium tuberculosis complex)에 의한 만성 감염병으로 전염성이 없는 잠복결핵과 전염성이 있는 활동성 결핵으로 나눌 수 있습니다.
활동성 결핵 환자와 접촉하여 결핵균이 내 몸 안으로 들어오면 잠복 결핵 상태가 됩니다. 이때는 증상과 전염성이 없는 잠복 결핵 감염 상태입니다. 결핵균은 내 몸 안의 면역세포와 싸우며 서서히 증식하게 되는데 몸의 면역력이 떨어지면 잠복해있던 결핵균이 활동성 결핵 상태가 되며 전염성을 갖게 됩니다.
결핵균은 공기를 매개로 전파됩니다. 폐결핵 환자와의 대화나, 기침을 통해 공기 중에 배출된 결핵균이 호흡기를 통하여 전염됩니다. 그러나 폐결핵 환자와 같이 있었다고 무조건 감염되는 것은 아니며, 접촉 기간, 빈도, 전염력에 따라 달라질 수 있습니다. 위에 언급한 대로, 전염성 환자와 접촉으로 증상과 전염성이 없는 잠복결핵에 걸릴 수 있으며 결핵의 감염자 중 90%는 단순히 잠복감염 상태를 유지합니다.
2. 결핵의 증상과 진단
2주 이상 기침과 발열, 피로감 등 전신 증상이 지속될 시 결핵을 의심해 볼 수 있습니다. 결핵균은 주로 폐로 침범하므로 폐결핵이 85% 정도로 가장 흔하며 흉막 및 림프절 등 폐 외 장기에 침범하여 결핵을 일으키기도 합니다. 일반적으로 폐결핵 환자의 70~80% 정도가 기침과 가래의 증상을 가지고 있으나, 폐결핵 환자에서만 볼 수 있는 증상은 아닙니다. 가장 흔한 기침 가래 이외에도 병이 진행되면 객혈, 호흡곤란, 흉통 등의 증상이 나타날 수 있습니다.
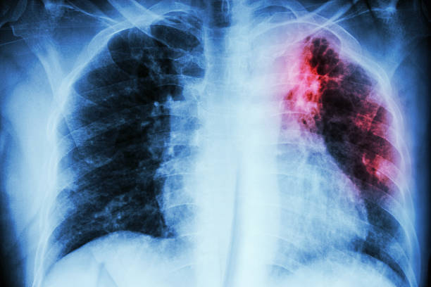
폐 질환과 구분하기 위해서는 X-RAY, 혈액검사 이외에도 객담검사, 흉부 CT를 추가로 시행하게 됩니다.
흉부 엑스레이는 결핵 검사 진단 방법 중 하나지만 단독으로 진단하지는 않으며, 흉부 엑스레이 검사 상 결핵이 의심된다면 확진 판정을 위해 혈액 검사 및 객담검사를 추가로 실시합니다.
3. 결핵의 치료와 예방
결핵의 의심되는 환자는 조속히 결핵균 검사를 시행하고 객담검사와 핵산증폭검사가 양성인 경우 확진 판정하게 됩니다. 전염성이 의심될 시 확진 판정이 나기 전이라도 격리 조치를 해야 하며, 공기 매개 주의 격리가 필요합니다. 확진 판정 시에는 법정감염병 신고 대상으로 보건소 신고가 필요합니다.
그러나 잠복결핵 감염자는 증상과 전염성이 없는 상태로 살아가며, 면역력 저하시 활동성 결핵으로 이어질 수 있습니다. 따라서 의료기관 종사자나 산후조리원, 어린이집 종사자 등 집단시설 종사자는 결핵으로 인한 전파력이 크기 때문에 조기에 진단하고 치료를 받는 것이 중요합니다.
현재 결핵을 치료하기 위해 사용하는 결핵 약은 9~10종이 있으며 결핵 약에 대한 내성이 생기는 것을 방지하기 위해 여러 가지 약제를 동시에 병합하여 사용합니다. 대부분 결핵 약 복용 후 2주가 지나면 전염성이 없어지고 임상 증상이 호전되며 4개월 혹은 6개월을 목표로 치료합니다. 그러나 결핵을 치료할 때 사용하는 결핵 약의 부작용으로 치료 기간 동안 꾸준히 복용을 하지 못하는 경우도 다수 있습니다. 간 독성, 심한 피로감, 위장장애가 있으며 이외에도 소변 색이나 땀 등 분비물이 주황색으로 변하기도 합니다.
약물에 대한 부작용과, 복용 후 증상이 호전되었다고 생각하여 임의로 중단하는 것은 약제 내성균의 출현을 가져올 수 있으므로 꼭 의사와 상담한 후 결정해야 합니다.
결핵은 BCG 예방접종으로 예방가능하며 생후 4주 이내에 모든 신생아에게 1회 권고됩니다.
'건강' 카테고리의 다른 글
| 국가 건강검진? 공단 건강검진? 무료 건강검진 항목, 누가 받나요? (0) | 2021.10.11 | 
|---|---|
| 올바른 혈압 재기 ( ft.병원에 가면 혈압이 높은 이유는?) (0) | 2021.10.11 | 
| 만성질환 고혈압, 원인과 증상은? (0) | 2021.10.11 | 
| 안전한 약 보관법, 보관 시 주의사항과 폐기방법 (0) | 2021.10.10 | 
| 코로나 예방 접종 바로 알기 (0) | 2021.10.09 | 
 
			
			
댓글